印刷用表示 |
テキストサイズ 小 |
中 |
大 |
New Site 12
since 2021-01-29
HOME
医院紹介
歯科医師紹介
ブログ
アクセス
歯科関係者のページ
Link
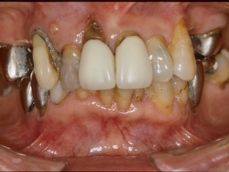
当院の症例です
初診時
歯周治療、部分矯正治療、インプラント治療終了後5年
初診時
歯周治療、補綴治療、インプラント治療終了後2年
初診時
歯周治療、補綴治療、インプラント治療終了後7年
初診時
歯周治療、補綴治療終了後10年
前歯のインプラント治療
前歯のインプラント治療
初診時
全ての歯が保存不可能でした。インプラント治療終了後4年