根管治療
根管治療とは?
一般に言われる、根の治療や、神経を抜く処置のことです
歯内療法とは文字通り、「歯の内部の治療」のことをいいます。
ですから本来の 広い意味の定義では、むし歯(う蝕)の治療をして、セメントなどをつめることも含まれます。
しかし、通常は、 歯の根の中の管(これを根管といいます)に関した治療を、歯内療法と呼んでいます。
歯は、人体の中で一番硬い組織ですが、その中には、俗にシンケイと呼ばれている歯髄という軟らかい組織が あって、根の先のほうの小さな孔で、あごの骨の中の神経や血管とつながっています。この歯髄が、むし歯(う蝕 )や外傷で、細菌の感染を受けたような場合には、歯がひどく痛んだり、歯肉が腫れたりします。このような時に、 もし、その歯を救い、さらに長い間機能させたいと思うならば、歯髄の一部や全部を除去して歯を残すような治療 をしなければなりません。そこで、歯内療法が行われるのです。
一般には、歯の神経の治療と言われ、歯を支える土台としての根(根管)の処置なので、根管治療(コンカンチリョウ)という治療法を行います。 歯を保存したいという気持ちと、そのための良い方法を探究し続ける努力から生まれたこの『歯内療法(根管治療)』をより的確にまた精密に行う事により、 みなさんの歯を更に長生きさせることができます。
以下に実際の根管治療の一部ではありますが必要な事、大切な事を書いてみます。
ラバーダム防湿
歯にラバー(ゴムの一種)で出来たマスクのようなものを装着し、唾液等による汚染から隔離します
ラバーダム防湿を行うメリット
1)歯だけが露出させるため、頬の内側の肉や舌などが施術を阻害しなくなるので、安全で精密な施術を行える
2)小さな器具を飲み込まないようにできる
3)根管治療をより無菌的に施術できる。
上記の中で3)が最も重要です。というのは口腔内には350種類以上の常在菌がいると言われています。難治性の根尖性歯周炎(なかなか治らない、もしくは何度も再発する根の治療の予後不良なもの)の原因菌のほとんどはこの口腔内常在菌であるというデータがあります。つまり、根管治療中に唾液が入る事はもってのほかであるということです。根管の中は生体でいえばお腹の中と同じような清潔な場所であるべきであり、ラバーダムを行わずに唾液が流れ込むような状態で根管治療を行うという事は、例えとして公園の砂場で開腹手術(盲腸の手術等)を行っておるのと同じくらい不潔で、医療としてあるまじき不潔さであると考えています。なぜ昔根の治療をした歯が根の先が膿んでしまったりして治療のやり直しが必要になるのか考えてみると、
a. 過去の治療が無菌的に行われていなかった
b. 過去の治療が適切でなかった
の二つが考えられますが、圧倒的に多いのはa.です。
まれにどうしてもラバーダム防湿が不可能な場合がありますが、予後に不安がある事を患者さんのご了解のもとでの妥協的な処置となります。当院ではラバーダム防湿を根管治療の他にも
1)深い虫歯の処置
2)セラミック修復の接着処置

等にも可能な限り使用し、より清潔な状態での処置を行います。
マイクロスコープ
根管治療にはマイクロスコープは必須です
皆さんは部屋の掃除をする時に、部屋が暗くてよく見えなかったらどうしますか?
1)手探りで掃除する
2)できる範囲で行う
3)明かりをつけてきちんと掃除する
さて、この3)を可能にするのがマイクロスコープによる根管治療です。
狭くて暗い根管の中を適切に清掃し、感染の除去を行う場合、20倍以上に拡大して観察が出来、診ている術者の視線の軸と光の軸が一致し、完全に見えるのがマイクロスコープです。
逆にマイクロスコープなくての根管治療は、暗闇の中で手探りで掃除をしているようなもので、上手くいく方が不思議に思えるような処置であると言っても過言では無いと思います。
ペンシルバニア大学のキム教授の言葉を引用します。
You can only treat what you can see.
見えるものしか治療できない
当院ではマイクロスコープを用いた精密な根管治療を行っております。
CTスキャン
2次元のレントゲンだけでなく、被爆線量の少ない歯科用CT検査を行う場合があります
根管治療を行う際、3次元的に病変の広がり、周囲組織のダメージ、また、根管の彎曲程度、方向などを知る事はとても重要です。
根管治療は、根の彎曲度合いや、根の形態(2つの根管が潰されて癒合していたり)等を前もって知る事で飛躍的に精度が上がります。現に他院のやり直しの根管治療では、根の見落としや根管を掃除する際に穿孔していたりという事を、頻繁に発見します。経験や手探りによる治療には限界があるという事ではないでしょうか?
マイクロスコープと併用する事により、入り口から出口までしっかり診査できますので、より安全、確実な処置が可能となります。
根管の中のロードマップです。
この組み合わせ3枚の写真はCT画像です。左の写真と真ん中の写真は同じものですが、わかりやすいように色を付けています。
黄色の線は根の外形です。
オレンジ色は、過去の根管治療の不備によりできた骨が吸収してしまった部分です。
赤の点線は、病変により破壊されてしまった上顎洞底(上顎洞と口の中を隔てる骨)の骨です。
水色は、それによって肥厚(腫れあがった)してしまった上顎洞粘膜です。
このような状態は2次元のレントゲンでは診断すらできません。CTを撮影することにより正確に診断ができ、それにあった処置法を選択する事が可能になります。
一番右の写真は処置直後で、MTAを用いて根管充塡し、治癒を待ちます。
ニッケルチタンファイル
ニッケルチタンファイルは、従来のステンレス製のファイルに比べよくしなり、曲がった根管にもよく追従することができます。
根管治療の対象となる根管が真直ぐな事はほとんどなく、必ず彎曲しています。ステンレス製の器具では、かなりの技術を駆使してもその彎曲に追従する事は難しいものですが、ニッケルチタン性の器具であれば割合追従しやすくなります。
しかし、この器具は改良が重ねられてはいますが、非常に破折の危険性が高く、マイクロスコープを用いた破折器具除去のテクニックの習得も必須であると考えています。
当院では、K3を使用しています。
緊密な根管充塡
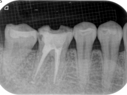
清潔な無菌的な根管の清掃が終了したら、緊密に根管充塡を行います。レントゲンで白く写る部分です。
根管治療の最後の処置です。根管の解剖学的な形態、彎曲度合い等によって数種類の根管充塡システムを当院では使い分けています。
1)側方加圧
2)ウルトラフィル
3)System B
4)オブチュレーション
5)Hot shot
6)オピアンキャリア 等
また、最近はMTAセメントによる根管充塡も非常に予後がよく、取り入れています。
- 前歯の違和感を主訴に来院した症例(写真をクリックして下さい)
- 歯内療法の不備から上顎洞にまで炎症が波及してしまった症例
初診時のレントゲン写真
写真の右から2本目の歯の違和感でいらっしゃいました。

CT撮影すると、炎症は上顎洞にも波及しています
このように、通常のレントゲンだけでは炎症による病変の範囲等がわかり難い場合はCT撮影も行います。
- 根の治療は終わったと言われたそうですが、、、、
- マイクロスコープを使用し、根の中の清掃をしているムービーです。根管治療にマイクロスコープは必須です。








